1 min read
Thoracic Trauma CT: Part 1 (Aorta)
0.25 AMA PRA Category 1 Credit™ Cost: Free Expires: 12/31/2028 Course Overview A collection of...
Remote radiologist jobs with flexible schedules, equitable pay, and the most advanced reading platform. Discover teleradiology at vRad.
Radiologist well-being matters. Explore how vRad takes action to prevent burnout with expert-led, confidential support through our partnership with VITAL WorkLife. Helping radiologists thrive.
Visit the vRad Blog for radiologist experiences at vRad, career resources, and more.
vRad provides radiology residents and fellows free radiology education resources for ABR boards, noon lectures, and CME.
Teleradiology services leader since 2001. See how vRad AI is helping deliver faster, higher-quality care for 50,000+ critical patients each year.
Subspecialist care for the women in your community. 48-hour screenings. 1-hour diagnostics. Comprehensive compliance and inspection support.
vRad’s stroke protocol auto-assigns stroke cases to the top of all available radiologists’ worklists, with requirements to be read next.
vRad’s unique teleradiology workflow for trauma studies delivers consistently fast turnaround times—even during periods of high volume.
vRad’s Operations Center is the central hub that ensures imaging studies and communications are handled efficiently and swiftly.
vRad is delivering faster radiology turnaround times for 40,000+ critical patients annually, using four unique strategies, including AI.
vRad is developing and using AI to improve radiology quality assurance and reduce medical malpractice risk.
Now you can power your practice with the same fully integrated technology and support ecosystem we use. The vRad Platform.
Since developing and launching our first model in 2015, vRad has been at the forefront of AI in radiology.
Since 2010, vRad Radiology Education has provided high-quality radiology CME. Open to all radiologists, these 15-minute online modules are a convenient way to stay up to date on practical radiology topics.
Join vRad’s annual spring CME conference featuring top speakers and practical radiology topics.
vRad provides radiology residents and fellows free radiology education resources for ABR boards, noon lectures, and CME.
Academically oriented radiologists love practicing at vRad too. Check out the research published by vRad radiologists and team members.
Learn how vRad revolutionized radiology and has been at the forefront of innovation since 2001.
Visit the vRad blog for radiologist experiences at vRad, career resources, and more.
Explore our practice’s reading platform, breast imaging program, AI, and more. Plus, hear from vRad radiologists about what it’s like to practice at vRad.
Ready to be part of something meaningful? Explore team member careers at vRad.
1 min read
Benjamin W. Strong, MD
:
December 18, 2025
0.25 AMA PRA Category 1 Credit™
Cost: Free
Expires: 12/31/2028

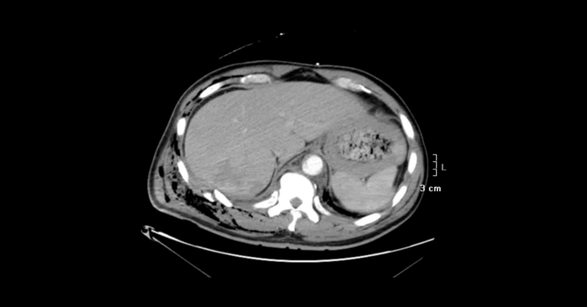
A collection of thoracic CT cases demonstrating a variety of thoracic injuries.
1. Learn the importance of aortic evaluation in trauma imaging.
2. Understand the implications of microembolic phenomena in the solid abdominal organs in cases of thoracic trauma.
3. Learn the different anatomic gas collections associated with bronchial injuries.
If you haven't accessed the vRad Radiology Education platform before, you will be prompted to complete a one-time registration process which allows you to access this course, and all other free CME courses vRad offers.
This course has been designed for radiologists. A certificate awarding credit will be issued to participants who have reviewed the entire presentation and correctly answered the post-test question.
This activity has been planned and implemented in accordance with the accreditation requirements and policies of the Accreditation Council for Continuing Medical Education (ACCME) through the joint providership of the Minnesota Medical Association and vRad Radiology Education. The Minnesota Medical Association (MMA) is accredited by the ACCME to provide continuing medical education for physicians.
The Minnesota Medical Association designated this online course review for a maximum of 0.5 AMA PRA Category 1 Credit(s)TM. Physicians should claim only the credit commensurate with the extent of their participation in the activity.
Jointly provided by the Minnesota Medical Association and vRad Radiology Education
1 min read
0.25 AMA PRA Category 1 Credit™ Cost: Free Expires: 12/31/2028 Course Overview A collection of...
1 min read
0.25 AMA PRA Category 1 Credit™ Cost: Free Expires: 12/31/2028 Course Overview A collection of...
1 min read
0.25 AMA PRA Category 1 Credit™ Cost: Free Expires: 12/31/2028 Course Overview A collection of...
vRad (Virtual Radiologic) is a national radiology practice combining clinical excellence with cutting-edge technology development. Each year, we bring exceptional radiology care to millions of patients and empower healthcare providers with technology-driven solutions.
Non-Clinical Inquiries (Total Free):
800.737.0610
Outside U.S.:
011.1.952.595.1111
3600 Minnesota Drive, Suite 800
Edina, MN 55435